The possible effects of electromagnetic waves of Wi-Fi router on the hippocampus of male rats

Document Type : Original Article

Authors

1 Department of Histology and Cell Biology, Faculty of Medicine, Minia University, Minia, Egypt

2 Department of Histology and Cell Biology, Faculty of Medicine, Minia University, Minia, Egypt.

Abstract

Background: Nowadays, there is increasing in incidence rates of using the electromagnetic field in daily life at work and at home, and it considers one of the environmental stimuli affects different cells and organs in the body. There are different sources of electromagnetic waves in our environment, including wireless communications, radars, satellites, TV, and radio antennas. Wi-Fi networks are among the most common inducers of the electromagnetic field. It is a cheap common technology that exposes its users to a spectrum of short wavelength electromagnetic waves (2.45 GHz). It may affect cell function via non-thermal effects, and its exposure can increase reactive oxygen species (ROS) formation and decrease cognitive function. Methods: In this study, 10 male albino rats were exposed to 2.45 GHz Wi-Fi router radiation /12 hours per day per week for 6 weeks. Results: revealed that the Wi-Fi router radiation caused remarkable degeneration of hippocampal pyramidal and granular neurons and an increase in the aggregation of the intraneuronal neurofibrillary tangles (NFTs) in the neuronal cell body. In conclusion, electromagnetic radiation exposure can cause hippocampal dysfunction through the neuronal damage effect.

Keywords

Main Subjects


Introduction

    The Hippocampus, the region of the brain that is associated primarily with memory, its shape resembles that of a sea horse. The hippocampus, which is a part of the limb system, which is particularly important in regulating emotional responses. It is involved in storing long-term memories and in making those memories resistant to forgetting. It is beside playing an important role in spatial processing and navigation (Wright 2017).

    Nowadays, there is increasing in incidence rates of using the electromagnetic field in daily life at work and at home, and it considers one of the environmental stimuli affects different cells and organs in the body. There are different sources of electromagnetic waves in our environment, including wireless communications, radars, satellites, TV, and radio antennas (Pooladi, Montzeri et al. 2018).

    It is also widely used in medical instruments and the hospitals.  Wi-Fi networks are among the most common inducers of the electromagnetic field. It is a cheap common technology that exposes its users to a spectrum of short wavelength electromagnetic waves (2.45 GHz). We are exposed to different sources of low energy electromagnetic field every day (Jaffar, Osman et al. 2019).

   Exposure to RF-EMR induces an imbalance in the oxidant/antioxidant defence system in the brain indicating that the internal environment of each brain cell was getting disturbed by the insult from RF-EMR (Peace 2019).

   One of these EMR is Wi-Fi which may affect cell function via non-thermal effects, and its exposure can increase ROS (Reactive Oxygen Species) formation and decrease cognitive function (Belpomme, Hardell et al. 2018). Recent studies revealed that exposure to radiation emitted from Wi-Fi technology has many health hazards on different body organs such as; Brain, liver, kidney, heart, pancreas, reproductive system, blood. This radiation carries also risk of cancer (Magiera and Solecka 2020).

 Material and Methods

Animals:

    This study was conducted in the histology and cell biology department of the Faculty of Medicine, Minia University, Egypt. This work was carried on forty adult male albino rats with body weight ranging from150-250 gm, of 6-8 weeks and pathogenically free. Animals were obtained from the study animal house of Minia University laboratory animals growing center of the Faculty of Agriculture.

    Rats were housed in hygienic plastic cages in a clean, well-ventilated room and were given free access to food (a standard diet of commercial rat chow) and water with normal light and dark cycles. Rats were maintained at a laboratory temperature ranged from 24-30ºC and exposed to 12 hours light and 12 hours dark cycle. Rats were left to acclimatize to the environment for 2 weeks prior to inclusion in the experiment. All aspects of animal care and treatment were carried out according to the local guidelines of the ethical committee of the Faculty of Medicine of Minia University.

Wi Fi exposure system:

   The Wi-Fi signal was picked up directly by a commercial Access Point for use indoors (ZTE -ZXHN H108N Router with 802.11 g mode and WPA2 network protection) (Othman, Ammari et al. 2017). The device supports wireless networking speeds of up to 150 Mbps (Turbo mode) on the popular 2.45 GHz public frequency.

    Exposed group was placed in cages surrounded by aluminium foil to concentrate the radiation and the cages were placed at a distance of 25 cm from the router device (Obajuluwa, Akinyemi et al. 2017), animals of the exposed group were exposed to Wi-Fi radiations from 2nd week of experiment for 12 hours per day per week respectively for 4 weeks while the control group was isolated in a separate room away from any source of radiations (0 Hz).

Experimental design:

   Twenty adult male healthy Sprague–Dawley albino rats (6–8 weeks) weighing between 150 and 250 g were used throughout the present study. The rats were divided randomly into two different groups of 10 animals each:

(1) The control group (group I):

 This group was formed of 10 rats and these rats were isolated in a separate room away from any radiation source and were evaluated after four weeks.

(2) The Wi-Fi exposed group (group II):

 This group was formed of 10 rats and were exposed to radiations emitted from the Wi-Fi router device for 12 hours/day per 7 days, for 4 weeks.

Rat sacrifice and obtaining tissues:

Rats were sacrificed at day 49 for all groups which was the end of the study by decapitation under light halothane anaesthesia then we used the intracardiac perfusion of 5cm 4% paraformaldehyde technique (Gage, Kipke et al. 2012) to prevent brain tissues fragmentation and preserve the normal brain tissues architecture. The hippocampus of the rats was rapidly carefully dissected out and were divided; some specimens fixed in 10% formal saline for 48 hours, then specimen was washed by tap water and processed for paraffin embedding to prepare tissue sections for light microscopy examination with morphological and morphometric studies. Some hippocampal specimens are carefully dissected, rapidly put and fixed in 10% glutaraldehyde solution for 48 hours for

  1. Histological study:

I- For light microscopic examination:

   1) The Paraffin Technique

   The hippocampal specimens were fixed in 10% neutral-buffered formalin at room temperature for 48 hours. After proper fixation, the samples were dehydrated in a graded alcohol series, cleared in xylene and embedded in paraffin wax then cut by a microtome. Five micrometer sections were mounted on glass slides for further staining (Suvarna, Layton et al. 2018).

  1. a) Staining with Hematoxylin and Eosin (H&E):

   Some sections which were mounted on glass slides, deparaffinized to be stained with H&E. The de-waxed sections were put in hematoxylin (Hx) stain for 7 minutes, washed well in running tap water, then put in eosin for 3 minutes and the surplus stain were washed off in water. The sections were dehydrated in alcohol, cleared by xylene and then mounted on glass slides to be viewed by the light microscopy for the general histological analysis study (Suvarna, Layton et al. 2018).

  1. Staining with Gallyas-Braak silver stain:

   Gallyas method is one of the most “sensitive” silver-staining method that clearly labels neurofibrillary tangles (NFTs), as well as neuronal damage (Hirano, Iritani et al. 2020).

Results

The Histological study:

  • Histological results of haematoxylin and eosin (H&E):
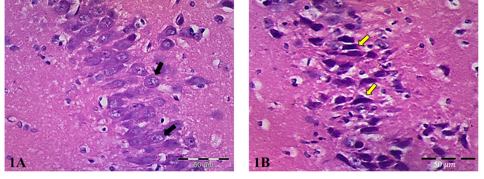
  • Control group:

     Higher power examination of CA3 area showed it was formed of large, normal pyramidal loosely packed neurons. Each neuron contains a single, rounded central large, vesicular nucleus with prominent nucleoli (Figure 1A). notice the normal pink neuropil background which was formed of neuronal fibres.

  • The Wi Fi group:

     This group showed distinguished histological changes in the form of heterogenicity of pyramidal neurons in CA3: mostly of the pyramidal neurons appear degenerated, lose their normal arrangement and were widely separated with shrunken cell bodies, pyknotic nuclei and perineural space and few pyramidal cells appear normal with basophilic cytoplasm and large central rounded vesicular nuclei (Figure 1B).

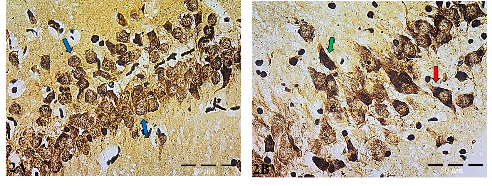
  • Histological results of Gallyas-Braak silver stain:
  • Control group

    The examination of CA3 area showed the normal morphological structure of pyramidal cells with observation of their arrangement, each pyramidal cell appeared normal with a single, rounded central large, vesicular nucleus with prominent nucleoli (Figure 2A).

  • The Wi Fi group:

    In this group, the pyramidal cells lost their normal architecture and normal arrangements. The pyramidal cells appeared darkly stained and destructed cells with shrunken cell bodies, pyknotic nuclei and surrounded by dark stained processing (Figure 2B).

 The morphometric results:

 Histopathological scoring of degenerated granular neurons:

   In Wi-Fi exposed group there was a significant increase in the mean number of the degenerated granular neurons in dentate gyrus (DG) by comparison to the control group (P=0.000) (Table 3, Histogram III).

 Discussion

    Nowadays we live in a world that becomes trapped in an electromagnetic radiation (EMR) resulted from marked increase in usage of wireless devices. These Wi-Fi devices have become an important thing in every home, schools, universities, coffee shops, and all governmental institutions (Ramirez-Vazquez, Gonzalez-Rubio et al. 2021). Many researches on the effect of exposure to wireless devices on different organs have been increased nowadays; however, the effect on the hippocampus is not clear. This study was conducted to figure out the histological changes in hippocampal tissues after exposure to radiation emitted from router device and its relation to the duration of exposure. This work tried to simulate the same conditions that most people exposed; Wi-Fi group were exposed to Wi-Fi radiation for 12 hours per day from 9 am to 9 pm, the same duration that the employees are exposed to during their work. The router device 2.45 GHz that was used is the commercial one that is used nowadays as done by (Ibrahim, Ali et al. 2019) in their study.

   By using hematoxylin and eosin the control group showed normal histological structure of the hippocampal tissue. While the exposed groups to Wi-Fi radiation router device showed many hippocampal morphological changes in the form of marked degeneration of pyramidal and granular cells and highly vacuolation of neuropil of the exposed groups in compare with the control group this was explained in (Karimi, Bayat et al. 2018) study which revealed that the hippocampal morphology showed that the neuronal density in the hippocampal CA3 area was significantly decreased by Wi-Fi radiation exposure.

   Gallyas-Braak silver stain using, provided us by a clear vision about the effect of EMR on hippocampal different regions as increase the degeneration rate of hippocampal neurons specially the pyramidal neurons as previously described by (El-Kafoury, Hamam et al. 2019). In the Wi-Fi group there was apparent increase in number of cells containing neurofibrillary tangles in their cell bodies as an indicator for cell degeneration appeared by silver stain. These results came with agreement of (Marson, Lasaponara et al. 2021) study.

  

   The role of EMR in inducing oxidative stress has been also approved by The mechanism by which EMR induced damage can be simplified by production of reactive oxygen species as nitric oxide and significant decrease in total antioxidant as superoxide dismutase after EMF exposure (Özsobacı, Ergün et al. 2020). These free radicals lead to damage of large cellular molecules such as lipids, proteins and nucleic acid and induce cell apoptosis.

 

Conclusion

From this study, the exposure to Wi-Fi router devices can cause many morphological changes in the hippocampal tissue. These results due to the effect of electromagnetic radiation in induction of apoptosis and oxidative stress. The hazardous effects of Wi- Fi router devices were time dependent.

 

 

  1. References
    1. Belpomme, D., L. Hardell, I. Belyaev, E. Burgio and D. O. J. E. p. Carpenter (2018). "Thermal and non-thermal health effects of low intensity non-ionizing radiation: An international perspective." 242: 643-658.
    2. El-Kafoury, B., G. G. Hamam and S. F. J. E. J. o. H. Ezzat (2019). "Effect of Exposure to different doses of Cell Phone-Electromagnetic Waves on the hippocampus and testis of Adult Albino Rats: A Histological study." 42(4): 956-973.
    3. Gage, G. J., D. R. Kipke and W. Shain (2012). "Whole animal perfusion fixation for rodents." JoVE (Journal of Visualized Experiments)(65): e3564.
    4. Hirano, M., S. Iritani, H. Sekiguchi, Y. Torii, C. Habuchi, H. Fujishiro, N. Ozaki, M. Yoshida and K. Fujita (2020). "Background of the neuropathological site in neurocognitive decline in elderly schizophrenic patients." Psychogeriatrics 20(4): 522-527.
    5. Ibrahim, R. A., A. H. Ali, N. H. Khamis and H. H. J. E. J. o. H. Mohammed (2019). "Effect Of Exposure To Wi-Fi Router Radiation On The Lung Of Adult Male Albino Rats: Histological And Immunohistochemical Study." 42(4): 1059-1069.
    6. Jaffar, F. H. F., K. Osman, N. H. Ismail, K.-Y. Chin and S. F. J. T. T. j. o. e. m. Ibrahim (2019). "Adverse effects of Wi-fi radiation on male reproductive system: a systematic review." 248(3): 169-179.
    7. Karimi, N., M. Bayat, M. Haghani, H. F. Saadi, G. R. J. T. Ghazipour and i. health (2018). "2.45 GHz microwave radiation impairs learning, memory, and hippocampal synaptic plasticity in the rat." 34(12): 873-883.
    8. Magiera, A. and J. J. R. P. Z. H. Solecka (2020). "Radiofrequency electromagnetic radiation from Wi-fi and its effects on human health, in particular children and adolescents. Review." 71(3).
    9. Marson, F., S. Lasaponara and M. J. M. Cavallo (2021). "A scoping review of neuromodulation techniques in neurodegenerative diseases: A useful tool for clinical practice?" 57(3): 215.
    10. Obajuluwa, A. O., A. J. Akinyemi, O. B. Afolabi, K. Adekoya, J. O. Sanya and A. O. Ishola (2017). "Exposure to radio-frequency electromagnetic waves alters acetylcholinesterase gene expression, exploratory and motor coordination-linked behaviour in male rats." Toxicology reports 4: 530-534.
    11. Othman, H., M. Ammari, K. Rtibi, N. Bensaid, M. Sakly, H. J. E. t. Abdelmelek and pharmacology (2017). "Postnatal development and behavior effects of in-utero exposure of rats to radiofrequency waves emitted from conventional WiFi devices." 52: 239-247.
    12. Othman, H., M. Ammari, M. Sakly and H. J. M. b. d. Abdelmelek (2017). "Effects of repeated restraint stress and WiFi signal exposure on behavior and oxidative stress in rats." 32(5): 1459-1469.
    13. Özsobacı, N. P., D. D. Ergün, M. Tunçdemir and D. J. B. t. e. r. Özçelik (2020). "Protective effects of zinc on 2.45 ghz electromagnetic radiation-induced oxidative stress and apoptosis in HEK293 cells." 194(2): 368-378.
    14. Peace, F. O. J. s. (2019). "Effects of Exposures of Mobile Phone Radiation on Cellular Architecture and Redox Status of Mammalian Brain Tissues." 2(2): 23.
    15. Pooladi, M., A. Montzeri, N. Nazarian, B. Taghizadeh and M. J. A. o. A. i. B. Odoumizadeh (2018). "Effect of WiFi waves (2.45 GHz) on aminotransaminases (ALP, ALT and AST) in liver of rat." 9(2): 13-20.
    16. Ramirez-Vazquez, R., J. Gonzalez-Rubio, I. Escobar, C. d. P. Suarez Rodriguez, E. J. I. J. o. E. R. Arribas and P. Health (2021). "Personal Exposure Assessment to Wi-Fi Radiofrequency Electromagnetic Fields in Mexican Microenvironments." 18(4): 1857.
    17. Suvarna, K. S., C. Layton and J. D. Bancroft (2018). Bancroft's theory and practice of histological techniques E-Book, Elsevier Health Sciences.
    18. Wright, M. J. W. o. M. (2017). "The hippocampus." 4(1): 1-14.